
Centri Affiliati:



Sident e Ames Group sono centri affiliati al network Sorriso Sostenibile Italia, specializzati in odontoiatria e implantologia a carico immediato.
In fondo alla pagina sono disponibili le informazioni su ciascuna clinica e sui Direttori Sanitari.
Siamo un network di studi che hanno l'obbiettivo di farti ritornare a sorridere e masticare in 4/6 ore*

Se vivi in Campania e hai denti mancanti che ti creano disagio…
Scopri il nostro metodo di implantologia a carico immediato: veloce, sicuro e dall’effetto naturale al 100%.
Ti riconosci in questa casistica?

✅ Impianti rapidi e sicuri – In sole 4, massimo 6 ore*, puoi dire addio ai denti mancanti.
✅ Fino a 12/24 elementi fissi, un'intera arcata, in 4/6 ore*.
✅ Nessuna attesa di mesi – Torni subito a sorridere e a mangiare senza fastidi.
✅ Finanziamenti a tasso zero – Anche senza busta paga.
✅ Impronte con scanner digitale per evitare paste fastidiose in bocca
✅ Anestesie senza paura – Pensate anche per chi soffre di fobia del dentista e possibilità di sedazione cosciente per affrontare senza paura l'intervento.



Siamo affiliati con:

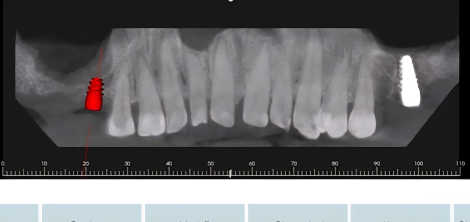
Interventi con progettazione computerizzata senza punti di sutura né incisioni.

Sostituiamo anche solo i denti mancanti senza necessariamente dover togliere i tuoi denti sani mediante l’utilizzo di impianti dentali short applicati con la tecnica computer-guidata
La computer-guidata è una tecnica di massima precisione che è adatta a tutti in particolare per coloro che vogliono rifare interessi arcate o non hanno osso per interventi tradizionali



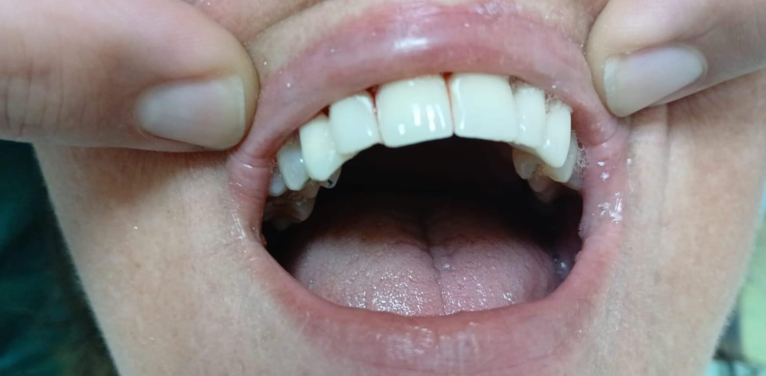
Paziente affetto da atrofia grave con parodontite acuta localizzata.
Caso progettato e realizzato attraverso la tecnica dell'implatologia computer-guidata con impianti short.
Grazie ad una progettazione fatta mediante PC su tac otteniamo preventivamente dove posizionare gli impianti la lunghezza la larghezza e la corretta angolazione di inserimento che ci consente di realizzare le protesi ancora prima di farevlintervento e di evitare tagli e scollamento gengivali che provocano dolore e bruciore riducendo notevolmente itempi di guarigione e i fastidi post intervento


Cosa dice chi si è affidato a noi:
Roberto consiglia il Network Sorriso Sostenibile dopo il successo delle sue cure.


Maria Grazia, soddisfatta della sua ortodonzia trasparente.


Giuliana, implantologia intera arcata superiore.


Agostino, implantologia doppia arcata computer guidata in sole 4 ore.


Raf, impianti short con progettazione computer guidata


Ti rivedi in uno di questi casi?
Scopri se i nostri impienti dentali sono adatti al tuo caso
Denti mancanti o mobili che ti causano disagio o dolore

Se sei affetto/a da pardontite (piorrea), hai dei denti mancanti o mobili.
Difficoltà a masticare o sorridere con naturalezza

Se hai difficoltà nella masticazione giornaliera e non riesci a goderti i tuoi pasti da solo o in famiglia oppure se sorridere in modo naturale ti crea disagio o sei costretto a coprire il tuo sorriso con le mani.
Porti una dentiera che non ti convince…

Se porti ad oggi una protesi mobile che ti crea disagio o avverti mobilità e poca aderenza che ti impedisce di mangiare i cibi che più ti piacciono.
Perché scegliere Sorriso Sostenibile Italia®
Siamo un network di studi che hanno l'obbiettivo di farti ritornare a sorridere e masticare in poco tempo.
Rendiamo Sostenibili le cure odontoiatriche mediante un listino sostenibile e l'utilizzo di rateizzazione senza interessi anche senza busta paga.
Sfruttiamo la tecnologia digitale per rendere le cure quanto meno fastidiose possibile.
Già a partire dalle impronte che vengono prese con scanner (telecamere) orali per evitare l'utilizzo di cucchiai e paste fastidiose che provocano in alcuni soggetti grande fastidio.
Per i pazienti più timorosi abbiamo la possibilità di praticare la sedazione cosciente per evitare attacchi di ansia e paura.
Cosa offriamo:
✅ Interventi rapidi e precisi – Denti nuovi in 4–6 ore*.
✅ Interventi con progettazione computerizzata senza punti di sutura né incisioni.
✅ Anestesie indolori – Perfette anche per chi ha paura del dentista con possibilità di sedazione cosciente.
✅ Finanziamenti a tasso zero, anche senza busta paga.
✅ Materiali di ultima generazione e un risultato dal 100% effetto naturale.
✅ Equipe specializzata che ti accompagna passo dopo passo.

Richiedi ora la tua chiamata gratuita
Compila il modulo in basso.
Uno dei nostri consulenti ti contatterà entro 24 ore per capire la tua situazione e spiegarti come potresti tornare a sorridere già in giornata.
*Le tempistiche del trattamento dipendono dalle condizioni attuali del paziente. E’ necessaria una prima visita per stabilire l’esatta diagnosi e piano riabilitativo.
Ci trovi in Via scafati, 99, Sant'Antonio abate
Comunicazione sanitaria informativa ai sensi della legge 145/2018 (comma 525) curata da Sident Odontoiatria Sostenibile STP SRL, società tra professionisti P.IVA: 10392601216
Comunicazione sanitaria informativa ai sensi della legge 145/2018 (comma 525) curata da A.M.E.S. di R. De Luca s.n.c. di Fico Antonio - P.iva 02982591212 - Via Padre Carmine Fico 24 - 80013 Casalnuovo di Napoli
Privacy Policy di questo Sito
Sorriso Sostenibile Italia®